Save Your Tooth with
Expert Root Canal
Treatment
Modern root canal therapy is virtually painless — and the most effective way to eliminate infection, end your pain, and keep your natural tooth for life.
What Is a
Root Canal?
A root canal is a safe, effective procedure that removes infected or inflamed nerve (pulp) from inside your tooth. Once cleaned and sealed, your natural tooth is preserved — saving you from extraction and restoring you to full comfort.
From Pain to Relief
See how root canal therapy restores comfort, health, and a full natural smile.


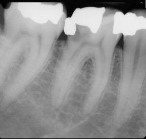
Infected Molar
Patient: Maria T., 38


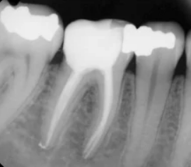
Tooth Caries
Patient: David H., 51


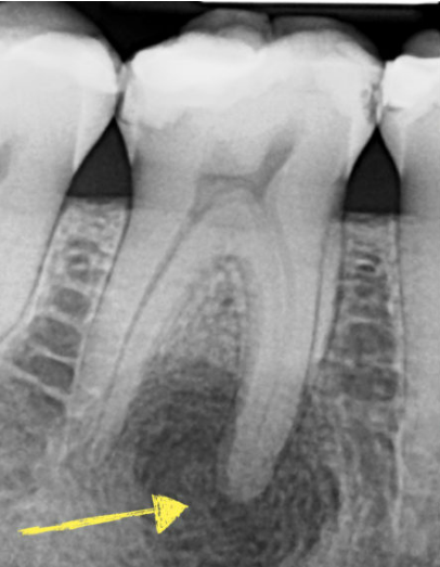
Tooth Trauma
Patient: Karen S., 44
The Omnia Dental
Difference
We've redefined what root canal treatment feels like — combining the latest technology with genuine compassion for a completely different experience.
Toothache that can't wait? We offer same-day emergency root canal appointments to get you out of pain as quickly as possible.
Electric rotary instruments complete treatment faster, more comfortably, and with greater precision than traditional hand filing techniques.
0% interest plans, insurance coordination, and transparent pricing with no hidden fees — making care accessible to everyone.
Topical numbing before every injection, laughing gas, a calming environment, and gentle technique combine to make your root canal visit genuinely stress-free.
Your Path to Pain-Free
A clear, comfortable process — most root canals are completed in just one or two appointments.
Digital X-rays and a full examination pinpoint the infection and confirm root canal is the right solution.
Local anesthetic is applied so you'll feel nothing.
Infected nerve (pulp) is carefully removed using precision rotary instruments.
Canals are thoroughly disinfected, shaped, and prepared to receive the permanent biocompatible filling material.
Canals are sealed with gutta-percha and a custom crown placed to restore your tooth to full strength.
With over 25 years dedicated to general dentistry, Dr. Dadashyan has performed more than 2,000 root canal procedures with an exceptional success rate. He combines precision with a gentle chairside manner that puts even the most anxious patients completely at ease.
Loma Linda University School of Dentistry
DDS, 2011
Moscow State Medical University School of Dentistry
DDS, 2001
AAE Fellowship
American Assoc. of Endodontists
Top Dentist Award
Los Angeles Magazine, 2019–2024
International Speaker
30+ global endodontic symposia
From Dread to
Relief & Gratitude
"I was terrified of root canals my whole life. Dr. Dadashyan made it completely painless — I actually fell asleep in the chair! The infection is gone and I kept my tooth. I can't recommend this team enough."
"I came in with agonizing tooth pain on a Friday afternoon — they fit me in same day. By that evening the pain was completely gone. The whole procedure was easier than getting a filling. Truly life-changing."
"I was told elsewhere I'd need an extraction. Dr. Dadashyan said he could save my tooth — and he did. The experience was calm, professional and pain-free. My only regret is not coming here sooner."
Stop the Pain.
Save Your Tooth.
Don't wait for an infection to get worse. Book your consultation today — same-day emergency appointments available.
Emergency same-day appointments available
